
Chaque fumeur a son histoire pulmonaire | Radio-Canada.ca

Étiquettes relatives à la santé pour les cigarettes et les petits cigares - Canada.ca

Cancer du poumon : le dépistage inutile chez les fumeurs

Pneumothorax sur prise de cocaïne

Radio des Poumons, Thorax- Paris 18,17,19,9 - 91 92 93 94 95- Doctolib

Cancer du poumon - =======»

Cancer du poumon : le dépistage par radio n’augmente pas le taux de survie
La radiographie des poumons d’un patient infecté par la Covid-19: “Ils sont dans un pire état que ceux d’un fumeur” | Santé | 7sur7.be


Cancer du poumon : le dépistage par radio n’augmente pas le taux de survie

Je dois faire une radiographie des poumons - CENTRE POLYVALENT DE SANTE UNIVERSITAIRE

Le dépistage et le diagnostic du cancer du poumon - VIDAL

Radiographie des poumons examen - docteurclic.com

InfoCancer - ARCAGY-GINECO - Voies aériennes - Cancer du poumon - Dépistage & prévention - Le dépistage

Radiographie pulmonaire - Définition, intérêt, déroulement de l’examen - Doctissimo

Cancer du poumon : symptôme, diagnostic, traitement

Cancer du poumon chez les non-fumeurs : quand la génétique s’en mêle

Nettoyer ses poumons : 21 techniques pour décrasser ses poumons de fumeur

Si l’arrêt du tabac améliore l’état des poumons, réduire la cigarette est insuffisant
DRS_Tuberculosis_vFrench_TXT_12 Jan 2016.indd

PNEUMONECTOMIE POUR CANCER BRONCHOPULMONAIRE PRIMITIF - PDF Free Download

Une cigarette par jour augmente le risque d’hémorragie cérébrale

Arrêter de fumer | NEW POINT de VIEW
Une infirmière démontre en vidéo la différence entre les poumons d’un fumeur et ceux d’une personne en bonne santé

Qu’est-ce que la radiographie d’un fumeur ressemble? - handpuzzles.com

Les non-fumeurs de plus en plus touchés par le cancer du p… - Top Santé

PNEUMONECTOMIE POUR CANCER BRONCHOPULMONAIRE PRIMITIF - PDF Free Download

estimée Diaporama
DRS_Tuberculosis_vFrench_TXT_12 Jan 2016.indd

Affections consécutives à l’inhalation de poussières d’amiante : épidémiologie, étiologie, diagnostic, prévention, réparation – UVMT

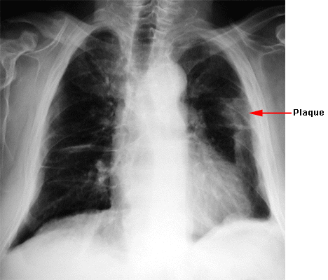
accentuation de la trame broncho interstitielle
Prise en charge du sevrage tabagique par le pharmacien d’officine

Poumon de fumeur images libres de droit, photos de Poumon de fumeur | Depositphotos
Pneumologues Algériens | Facebook
Amiante : pas de panique … - Pourquoi Comment Combien

Cigarette électronique: ses effets sur le cœur, le cerveau et les voies aériennes supérieures - Planete sante
Dr. Naaima ZEMED - Pneumologue, Allergologue - Publicações | Facebook

Comparaison poumons sains, de fumeur et de malade du covid

Détresse respiratoire: de quoi on parle? - Planete sante

la radiographie pulmonaire

PNEUMONECTOMIE POUR CANCER BRONCHOPULMONAIRE PRIMITIF - PDF Free Download

Radiographie pulmonaire - Définition, intérêt, déroulement de l’examen - Doctissimo

Journée mondiale sans tabac : et si vous preniez soin de vos poumons ?


PNEUMONECTOMIE POUR CANCER BRONCHOPULMONAIRE PRIMITIF - PDF Free Download
onco-hématologiques

Lumière sur le pneumothorax spontané. - INHUMAN

9 fumeurs sur 10 font cette erreur… et vous ?

Amiante : pas de panique … - Pourquoi Comment Combien

Cancer du poumon | Le Haut Parleur

Il n’y a pas de cigarette inoffensive !

Regards

Radiographie pulmonaire - Définition, intérêt, déroulement de l’examen - Doctissimo
Recommandations pratiques pour le diagnostic et la prise en charge de la fibrose pulmonaire idiopathique – Actualisation 2017.

La Belgique, 3ème pays de l’Union européenne pour la mortalité par cancer du poumon | Fondation contre le Cancer
onco-hématologiques

http://www.pourquoidocteur.fr/media/article/ggl1200_istock-1060727968-1570982589.jpg

la radiographie pulmonaire

accentuation de la trame broncho interstitielle

DFGSM3. Annales 2 ème Semestre (de 2012 à 2014) Les sujets à partir de 2015 figurent sur SIDES. - PDF Téléchargement Gratuit

TPE sur le cancer du poumon: Dépistage

estimée Diaporama
Untitled

Appli pour les fumeurs : visualisez vos poumons en réalité augmentée

Cancer du poumon 2008 ANALYSE 7- Facteurs de risque reconnus Le cancer du poumon est un cancer largement associé à l’exposition à des agents présents dans l’environnement général et professionnel. La fonction physiologique pulmonaire place le …

DFGSM3. Annales 2 ème Semestre (de 2012 à 2014) Les sujets à partir de 2015 figurent sur SIDES. - PDF Téléchargement Gratuit

Affections consécutives à l’inhalation de poussières d’amiante : épidémiologie, étiologie, diagnostic, prévention, réparation – UVMT

Quels sont les risques du tabagisme occasionnel ? | santé pratique Paris

Tabagisme ultra-passif: ce danger invisible - Planete sante
Untitled
Prise en charge du sevrage tabagique par le pharmacien d’officine
Brochure tabac

Memoire Online - Dosage de cotinine urinaire : interet pour l’evaluation du statut tabagique - dhouha haj mouhamed

Tabac in utero et à l’adolescence : la double peine pour l… - Top Santé

Fumeurs occasionnels : un risque pour les poumons

Le tabagisme “social” aussi dangereux pour la santé que le tabagisme quotidien

VIDEO. Voilà à quoi ressemblent les poumons d’un individu qui a fumé 20 cigarettes par jour pendant vingt ans (et ce n’est pas beau à voir)

PNEUMONECTOMIE POUR CANCER BRONCHOPULMONAIRE PRIMITIF - PDF Free Download

Affections consécutives à l’inhalation de poussières d’amiante : épidémiologie, étiologie, diagnostic, prévention, réparation – UVMT
Prise en charge du sevrage tabagique par le pharmacien d’officine
Présentation PowerPoint
Le Manuel Du Généraliste - Divers | PDF | Sensibilité et spécificité | Courbe ROC
Bulletin de santé publique, Martinique, février 2019

Maladie respiratoire - Tout sur les maladies respiratoires - Doctissimo

https://images.rtl.fr/~c/795v350/rtl/www/1287066-une-femme-fume-une-cigarette-illustration.jpg

Pneumothorax sur prise de cocaïne
SOMMAIRE
UNIVERSITÉ PARIS DIDEROT - PARIS 7

Je dois faire une radiographie des poumons - CENTRE POLYVALENT DE SANTE UNIVERSITAIRE

accentuation de la trame broncho interstitielle

Effets du cannabis sur la santé: fumer un joint par jour pendant 20 ans n’endommagerait pas les poumons | Le Huffington Post LIFE

Memoire Online - Dosage de cotinine urinaire : interet pour l’evaluation du statut tabagique - dhouha haj mouhamed

Tabagisme: les poumons ont une capacité étonnante à se «réparer» | Le Devoir

Pharmacie Benoit Argenton-sur-Creuse : Le dossier

Vous pensez que fumer quelques cigarettes par jour, c’est moins grave? Vous avez tort - La Libre

Poumons de fumeurs VS poumons sains: QUI pourrait encore allumer une cigarette normalement après avoir vu ces images? (vidéo) - RTL People
![]()
Search covid 19 | owlapps
Le Manuel Du Généraliste - Pneumologie PDF | PDF | Asthme | Aérosol

Mely on Twitter: ““@Ras_nes: Le poumon d’un non fumeur vs le poumon d’un fumeur. http://t.co/xNx67Ty96E ”😱😱😱😱😱😱😱😱😱😱😱😱😱😱” / Twitter
